KAMELEON MEĐU MOŽDANIM UDARIMA: INFARKT ARTERIJE PERCHERON KAO DIJAGNOSTIČKI IZAZOV U HITNOJ MEDICINI
Uvod
Irigacija talamusa i mezencefalona izrazito je složena te podložna brojnim značajnim anatomskim varijacijama. Od njih jedna je i arterija Percheron, koja obostrano opskrbljuje paramedijalni talamus, a varijabilno i anteriorni talamus te rostralni mezencefalon (1-4). Budući da je riječ o rijetkoj anatomskoj varijaciji, slučajevi lezija njenog opskrbnog područja čine mali dio (do 2 %) svih ishemijskih inzulta (4,5) zbog čega nisu dio svakodnevne kliničke prezentacije. Upravo zahvaljujući značajnoj anatomskoj varijabilnosti klinička prezentacija infarkta u opskrbnom području arterije Percheron vrlo je složena i heterogena (4), što predstavlja diferencijalno dijagnostički izazov u hitnim bolničkim prijamima. Cilj ovog prikaza slučaja jest upoznavanje s navedenim kliničkim entitetom u svrhu ranog prepoznavanja i pravovremene reperfuzije zahvaćenog dijela moždanog parenhima.
Prikaz slučaja
Bolesnica u dobi od 80-godina dovezena je u sjedećem položaju u Objedinjeni hitni bolnički prijam (OHBP) zbog kratkotrajnog gubitka svijesti. Po oporavku svijesti u neurološkom statusu zamijećena je prostorna i vremenska dezorijentiranost. Tijekom transporta bolesnica je postala somnolentna uz razvoj desnostrane slabosti po centralnom tipu.
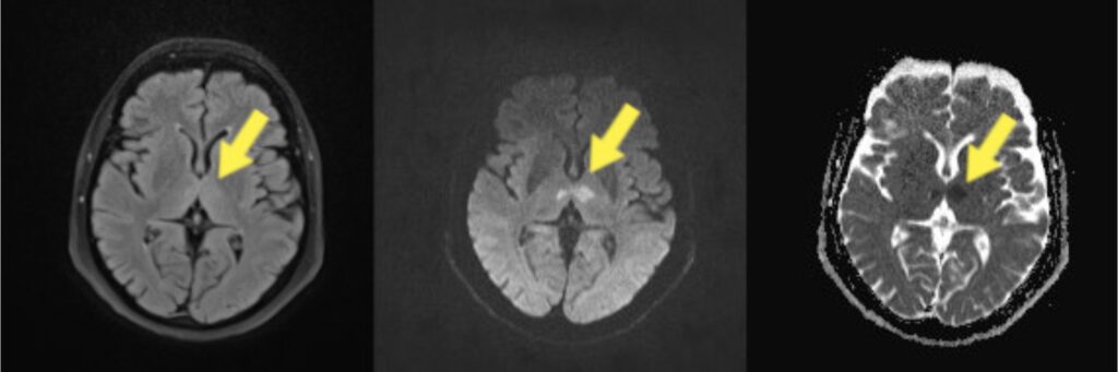
Po prijamu u OHBP bolesnica je disala spontano, suficijentno, bila je izrazito hipertenzivna (vrijednosti krvnoga tlaka 230/110 m mHg) uz uredan elektrokardiografski (EKG) zapis, uredne vrijednosti glukoze i tjelesne temperature te uredan somatski status. U neurološkom statusu bila je prisutna somnolencija bez odgovarajućeg verbalnog odgovora, uz otvaranje oči na poziv. Zjenice su bile uže, izokorične, simetrične i fotoreaktivne uz urednu bulbomotoriku i negativne meningealne znakove. Asimetriju lica nije imala, ali je perzistirala desnostrana slabost po centralnom tipu. Radi kliničke slike cerebrovaskularnog inzulta bio je pokrenut protokol za neurointervenciju. Rezultati učinjenih pretraga, kompjuterizirane tomografije (engl. computed tomography, CT) mozga, CT angiografije karotidnih, vertebralnih i intrakranijskih krvnih žila nisu pokazali znakova svježe hemoragije i ishemije, kao ni vidljivog ispada perfuzije. U tijeku radiološke obrade u bolesnice je došlo do normalizacije krvnog tlaka i regresije desnostrane slabosti, ali bez potpunog oporavka stanja svijesti i uspostave verbalnog kontakta. Po prispijeću urednih nalaza učinjene neuroradiološke obrade, a u nedostatku fokalnog neurološkog ispada proširila se obrada u svrhu pronalaska druge etiologije poremećaja stanja svijesti. Proširena laboratorijska obrada pristigla je uredna, izuzev pozitivnog nalaza benzodiazepina u urinu koje je bolesnica imala u kroničnoj terapiji. Primjena flumazenila intravenski bila je bez kliničkog odgovora. U daljnjem tijeku zbog razvoja izrazite mioze zjenica obostrano bez oporavka budnosti postavljena je sumnja na leziju moždanog debla, što je bio ključan trenutak kliničke prezentacije. Indicirana je hitna magnetska rezonancija (MR) mozga u dogovoru s dežurnom radiološkom službom kojom se dokazala akutna ishemijska lezija u irigacijskom području arterije Percheron (obostrano talamično i rostralno mezencefalično) (slika 1).
Zbog daljnje progresije poremećaja stanja svijesti uz epizode apneje bolesnica je endotrahealno intubirana uz indukciju u brzome slijedu, strojno ventilirana uz analgosedaciju te zaprimljena na daljnje liječenje u Jedinicu intenzivnog liječenja Klinike za neruologiju. Konzervativnim liječenjem kroz nekoliko dana došlo je do postepenog, djelomičnog oporavka deficita. Nakon produžene hospitalizacije bolesnica je otpuštena na fizikalnu rehabilitaciju uz zaostalu vremensku i prostornu dezorijentiranost te blagu desnostranu slabost po centralnom tipu.

Slika 1. Radiološke snimke bolesnice. Na lijevoj slici prikazana je FLAIR sekvenca (engl. Fluid-Attenuated Inversion Recovery), na kojoj se uočava diskretna zona povišenog signala. Na istom mjestu, na DWI/ADC sekvencama (engl. Diffusion Weighted Imaging / Apparent Diffusion Coefficient), prikazanim na srednjoj i desnoj slici, vidi se restrikcija difuzije.

Slika 2. Irigacijsko područje arterije Pecheron
Rasprava
Talamus i mezencefalon opskrbljeni su krvlju od strane perforirajućih grana stražnje cerebralne i komunikantnih arterija (1,4). Paramedijani dijelovi talamusa i varijabilno mezencefalon najčešće su irigirani od strane parnih paramedijanih arterija koje su ogranci lijeve i desne stražnje cerebralne arterije (1,5). Međutim, u manjem broju ljudi (4-12 %) (4,5) navedeno područje opskrbljuje samo jedna arterija, arterija Percheron koja unilateralno polazi iz P1 segmenta stražnje cerebralne arterije. (1,2,4,5) (Slika 2).
Klinička slika infarkta opskrbnog područja arterije Percheron najčešće uključuje trijadu simptoma: vertikalnu parezu pogleda, poremećaje pamćenja i poremećaje stanja svijesti sve do kome (4-7), što odgovara bilateralnom zahvaćanju paramedijanih područja talamusa. Ovisno o daljnjoj anatomskoj varijabilnosti irigacija arterije Percheron može obuhvaćati i anteriorne dijelove talamusa te rostralne dijelove mezencefalona; čime se klinička prezentacija dodatno komplicira (2,4,5,8).
Ukoliko su zahvaćeni anterirorni dijelovi talamusa, poremećaji pamćenja značajno su teži (5); dok tzv. „mezencefalotalamični“ sindrom karakteriziraju još i hemiplegija, ataksija, poremećaji kretanja te drugi okulomotorni poremećaji – primjerice horizontalna pareza pogleda i mioza (4-6). U našem slučaju prisutna su bila dva od tri „klasična“ simptoma, uz dodatne znakove zahvaćenosti mezencefalona.
Atipična „kameleonska“ klinička prezentacija infarkta arterije Percheron pokazuje kako se rijetki neurovaskularni entiteti mogu previdjeti ako se oslanjamo isključivo na početni CT nalaz.
Diferencijalno dijagnostički u obzir dolaze brojna nevaskularna, kao i nekoliko vaskularnih stanja. Nevaskularni uzroci uključuju trovanja (npr. ugljikov monoksid, cijanid, metanol), sistemne bolesti (npr. bolesti jetre, poremećaje glikemije, hipoksiju, Wilsonovu bolest, Wernickeovu encefalopatiju i drugo), neurodegenrativne bolesti (npr. Huntingtonovu bolest, Creutzfeldt-Jakobovu bolest); kao i infektivne uzroke i neoplazme (8,9). Pažljivim uzimanjem anamneze i pregledom, kao i laboratorijskom i radiološkom obradom navedena se stanja mogu brzo isključiti s velikom sigurnošću. Od vaskularnih uzroka bitalamičkih lezija uz okluziju arterije Percheron u obzir dolaze okluzija bazilarne arterije, kao i tromboza venskih sinusa. Međutim, oba entiteta zahvaćaju značajno veći dio moždanog parenhima, zbog čega se obično i klinički i radiološki prezentiraju drugačije od infarkta u području arterije Percheron (8,10).
Važno je napomenuti da je kod okluzije arterije Percheron nativni CT mozga u većini slučajeva početno uredan te da CT angiografijom u velikoj većini slučajeva nije moguće izravno prikazati arteriju, (4, 5, 8) što zahtjeva snimanje MR-a mozga i u hitnoj medicinskoj službi. Navedeno, uz nisku učestalost i heterogenost kliničke prezentacije, značajno komplicira postavljanje ispravne dijagnoze u hitnim prijamima.
Sustavan pristup, koji uključuje detaljnu anamnezu, opetovane neurološke preglede te pravodobno učinjenu MR mozga, ključan je za točnu i pravodobnu dijagnozu u hitnoj službi.
Zaključak
Infarkt u opskrbnom području arterije Percheron je rijedak, ali značajan entitet koji se očituje varijabilnom, složenom i povremeno nespecifičnom kliničkom slikom. Upravo zbog heterogenosti prezentacije te često urednog početnog nalaza CT mozga, njegovo prepoznavanje predstavlja dijagnostički izazov. U prikazanom slučaju su temeljita anamneza i ponovna procjena neurološkog statusa doveli do visoke razine kliničke sumnje, što je omogućilo pravovremenu indikaciju hitne MR pretrage i posljedično postavljanje ispravne dijagnoze. Ovaj prikaz ističe važnost serijskih kliničkih pregleda i podsjeća da kod neobjašnjivog poremećaja stanja svijesti, osobito uz znakove zahvaćanja moždanog debla, uvijek treba razmotriti i rijetke vaskularne uzroke poput infarkta arterije Percheron, s obzirom da pravovremena dijagnostika i liječenje mogu značajno utjecati na ishod bolesnika.
Literatura
-
Bordes S, Werner C, Mathkour M, McCormack E, Iwanaga J, Loukas M, et al.
Arterial Supply of the Thalamus: A Comprehensive Review.
World Neurosurg. 2020 May;137:310–318.
doi:10.1016/j.wneu.2020.01.237. -
Schmahmann JD.
Vascular syndromes of the thalamus.
Stroke. 2003 Sep;34(9):2264–2278.
doi:10.1161/01.STR.0000087786.38997.9E. -
Percheron G.
The anatomy of the arterial supply of the human thalamus and its use for the interpretation of the thalamic vascular pathology.
Z Neurol. 1973 Aug 29;205(1):1–13.
doi:10.1007/BF00315956. -
Kichloo A, Jamal SM, Zain EA, Wani F, Vipparala N.
Artery of Percheron Infarction: A Short Review.
J Investig Med High Impact Case Rep. 2019 Jan–Dec;7:2324709619867355.
doi:10.1177/2324709619867355. -
Lazzaro NA, Wright B, Castillo M, Fischbein NJ, Glastonbury CM, Hildenbrand PG, et al.
Artery of Percheron infarction: imaging patterns and clinical spectrum.
AJNR Am J Neuroradiol. 2010 Aug;31(7):1283–1289.
doi:10.3174/ajnr.A2044. -
Lamot U, Ribarič I, Popovic KS.
Artery of Percheron infarction: review of literature with a case report.
Radiol Oncol. 2015 Mar 25;49(2):141–146.
doi:10.2478/raon-2014-0037. -
Cassourret G, Prunet B, Sbardella F, Bordes J, Maurin O, Boret H.
Ischemic Stroke of the Artery of Percheron with Normal Initial MRI: A Case Report.
Case Rep Med. 2010;2010:425734.
doi:10.1155/2010/425734. -
Wong ML, Edlow JA.
Artery of Percheron Stroke.
J Emerg Med. 2018 Jul;55(1):114–117.
doi:10.1016/j.jemermed.2018.02.048. -
Hegde AN, Mohan S, Lath N, Lim CC.
Differential diagnosis for bilateral abnormalities of the basal ganglia and thalamus.
Radiographics. 2011 Jan–Feb;31(1):5–30.
doi:10.1148/rg.311105041. -
Rodriguez EG, Lee JA.
Bilateral thalamic infarcts due to occlusion of the Artery of Percheron and discussion of the differential diagnosis of bilateral thalamic lesions.
J Radiol Case Rep. 2013 Jul 1;7(7):7–14.
doi:10.3941/jrcr.v7i7.961. -
Atallah O, Almealawy YF, Alabide AS, Farooq M, Sanker V, Alrubaye SN, et al.
Navigating the clinical landscape of artery of Percheron infarction: A systematic review.
eNeurologicalSci. 2024 Aug 21;37:100521.
doi:10.1016/j.ensci.2024.100521.
Published under the Creative Commons Attribution 4.0 International License